Closure: Space Management

$2,999.99

Course Dates & Times

Friday, May 8 (8am to 5pm)
Saturday, May 9 (8am to 4pm)

This is a two-day course.

Course Summary

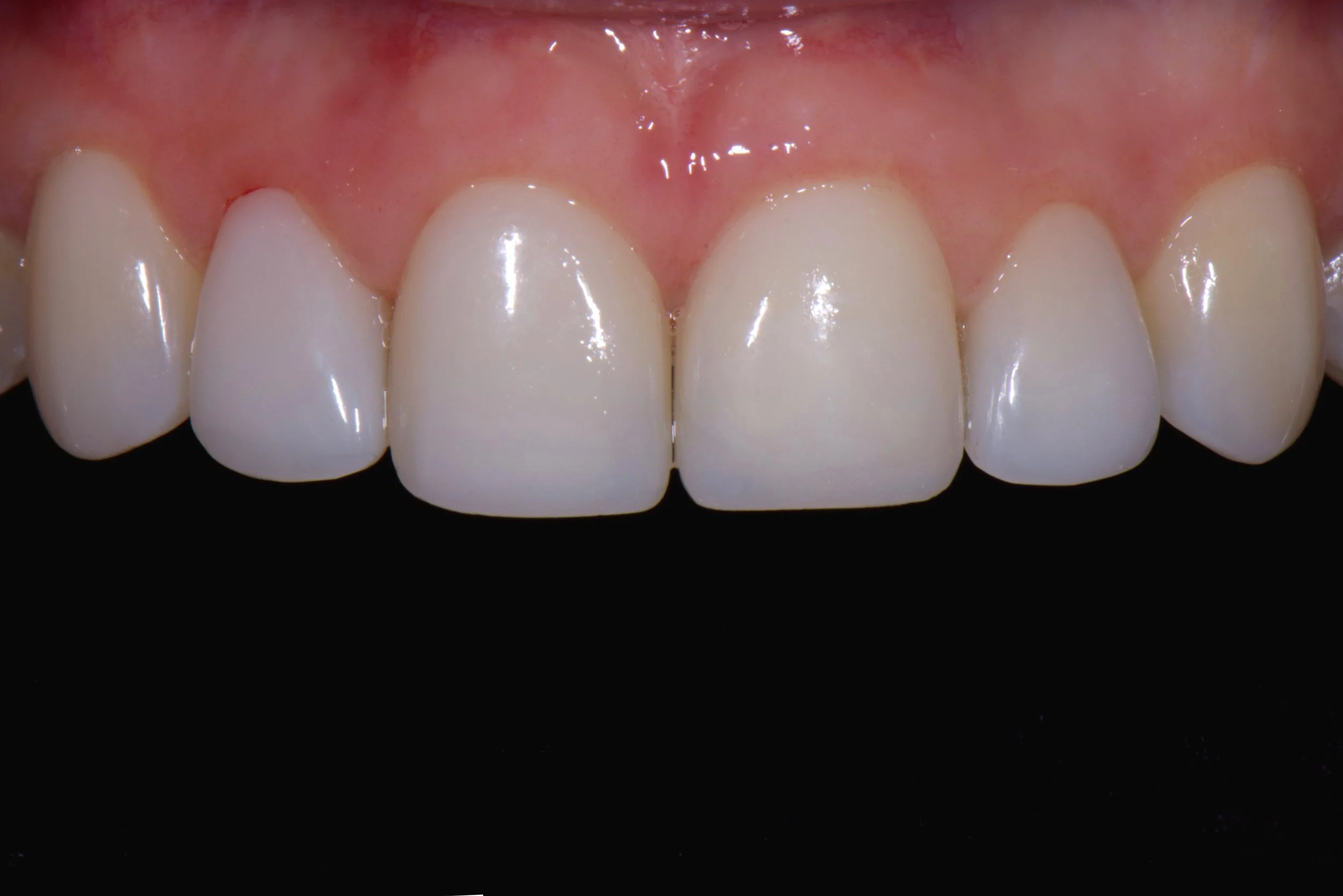
Esthetic dilemmas encountered by every restorative dentist include Class IV fractures and gaps resulting from Black Triangles, Diastemata, and Undersized Incisors. Every patient wants a conservative, timely, and long-lasting restoration. This workshop teaches the skills to predictably deliver additive injection overmolded restorations. The intensive hands-on experience will build foundational skills to elevate your confidence with everyday direct composite.

Learning Objectives

  • Understand single shade restorations for color blending

  • Master composite placement, contouring, and polish

  • Build confidence with anatomic mylar matrix selection and customization

  • Learn smile design concepts for planning and execution of space closures

  • Gain experience with simulated Class IV, Black Triangle, and full Anterior Sextant hands-on exercises

Continuing Education Hours

14 (Lecture & Hands-on)

Course Pricing

Tuition: $2999.99

Dental student pricing available.
Please contact us.

Training Location

8th and Olive Building
720 Olive Way
Seattle, Washington, 98101

Prerequisites

This course is intended for licensed dentists, restorative hygienists, expanded function dental assistants, and active dental students.

Refund/Cancellation Policy

Please note that any cancellations within 30 days of the registered course will result in forfeiture of 100% tuition. Cancellations 30+ days in advance will be assessed a 50% forfeiture of tuition. If you have questions prior to registering, please contact us.

Course Dates & Times

Friday, May 8 (8am to 5pm)
Saturday, May 9 (8am to 4pm)

This is a two-day course.

Course Summary

Esthetic dilemmas encountered by every restorative dentist include Class IV fractures and gaps resulting from Black Triangles, Diastemata, and Undersized Incisors. Every patient wants a conservative, timely, and long-lasting restoration. This workshop teaches the skills to predictably deliver additive injection overmolded restorations. The intensive hands-on experience will build foundational skills to elevate your confidence with everyday direct composite.

Learning Objectives

  • Understand single shade restorations for color blending

  • Master composite placement, contouring, and polish

  • Build confidence with anatomic mylar matrix selection and customization

  • Learn smile design concepts for planning and execution of space closures

  • Gain experience with simulated Class IV, Black Triangle, and full Anterior Sextant hands-on exercises

Continuing Education Hours

14 (Lecture & Hands-on)

Course Pricing

Tuition: $2999.99

Dental student pricing available.
Please contact us.

Training Location

8th and Olive Building
720 Olive Way
Seattle, Washington, 98101

Prerequisites

This course is intended for licensed dentists, restorative hygienists, expanded function dental assistants, and active dental students.

Refund/Cancellation Policy

Please note that any cancellations within 30 days of the registered course will result in forfeiture of 100% tuition. Cancellations 30+ days in advance will be assessed a 50% forfeiture of tuition. If you have questions prior to registering, please contact us.